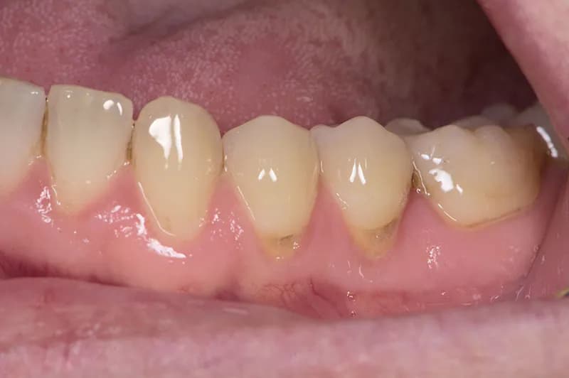
Odsłonięte szyjki zębowe to problem, który może powodować ból, nadwrażliwość i dyskomfort podczas jedzenia czy picia. Powstają, gdy dziąsła cofają się, odsłaniając wrażliwe części zęba. Przyczyny tego zjawiska są różne – od nieprawidłowej higieny jamy ustnej po choroby dziąseł czy wady zgryzu.
W artykule dowiesz się, jak skutecznie leczyć odsłonięte szyjki zębowe oraz jakie metody pomogą uniknąć bólu. Omówimy zarówno profesjonalne zabiegi stomatologiczne, jak i domowe sposoby, które mogą przynieść ulgę. Niezależnie od przyczyny problemu, odpowiednie leczenie i profilaktyka mogą znacząco poprawić komfort życia.
Kluczowe wnioski:- Odsłonięte szyjki zębowe mogą wynikać z recesji dziąseł, nieprawidłowego szczotkowania, kamienia nazębnego lub wad zgryzu.
- Objawy obejmują nadwrażliwość na zimno, ciepło oraz ból podczas jedzenia.
- Leczenie może obejmować zabiegi stomatologiczne, takie jak zakrycie szyjek kompozytem, przeszczep dziąsła lub wygładzenie korzenia zęba.
- Domowe sposoby, np. stosowanie past do zębów dla wrażliwych zębów, mogą złagodzić objawy.
- Regularne wizyty u stomatologa i prawidłowa higiena jamy ustnej są kluczowe w zapobieganiu problemowi.
Czym są odsłonięte szyjki zębowe i dlaczego bolą?
Odsłonięte szyjki zębowe to problem, który pojawia się, gdy dziąsła cofają się, odsłaniając wrażliwe części zęba. Ta część zęba, zwykle chroniona przez dziąsło, jest bardziej podatna na uszkodzenia i bodźce zewnętrzne. Może to prowadzić do nieprzyjemnych dolegliwości, takich jak ból czy nadwrażliwość.
Objawy odsłoniętych szyjek zębowych są często uciążliwe. Wiele osób skarży się na ostry ból podczas jedzenia zimnych lub gorących potraw. Nadwrażliwość na słodkie lub kwaśne pokarmy również jest częstym problemem. W skrajnych przypadkach może pojawić się nawet ból podczas szczotkowania zębów.
Główne przyczyny odsłoniętych szyjek zębowych
Jedną z najczęstszych przyczyn odsłoniętych szyjek zębowych jest nieprawidłowe szczotkowanie zębów. Zbyt mocne naciskanie szczoteczki lub używanie twardych włosków może prowadzić do uszkodzenia dziąseł. Z czasem dziąsła zaczynają się cofać, odsłaniając wrażliwe szyjki zębowe.
Choroby dziąseł, takie jak paradontoza, również odgrywają dużą rolę. Stan zapalny dziąseł powoduje ich osłabienie i stopniowe cofanie się. Nieleczone choroby dziąseł mogą prowadzić do poważnych problemów, w tym utraty zębów.
Inne czynniki, takie jak awitaminoza, kamień nazębny, palenie papierosów czy wady zgryzu, również mogą przyczyniać się do odsłonięcia szyjek zębowych. Każda z tych przyczyn wymaga innego podejścia w leczeniu, dlatego ważna jest konsultacja ze stomatologiem.
- Nieprawidłowe szczotkowanie zębów
- Choroby dziąseł, np. paradontoza
- Awitaminoza i niedobory składników odżywczych
- Nagromadzenie kamienia nazębnego
- Palenie papierosów i wady zgryzu
Jak nieprawidłowe szczotkowanie wpływa na szyjki zębowe?
Szczotkowanie zębów zbyt mocno lub przy użyciu twardej szczoteczki może prowadzić do uszkodzenia dziąseł. Dziąsła stopniowo cofają się, odsłaniając wrażliwe szyjki zębowe. To właśnie dlatego stomatolodzy zalecają używanie miękkich szczoteczek i delikatnych ruchów.
Długotrwałe nieprawidłowe szczotkowanie może prowadzić do trwałych uszkodzeń. Odsłonięte szyjki zębowe stają się bardziej podatne na próchnicę i infekcje. Dlatego tak ważne jest, aby od razu zmienić nawyki higieniczne.
Choroby dziąseł a odsłonięte szyjki zębowe
Choroby dziąseł, takie jak paradontoza, są jedną z głównych przyczyn odsłoniętych szyjek zębowych. Stan zapalny dziąseł powoduje ich osłabienie i stopniowe cofanie się. W efekcie szyjki zębowe stają się bardziej widoczne i wrażliwe.
Nieleczenie chorób dziąseł może prowadzić do poważnych konsekwencji. Oprócz odsłoniętych szyjek zębowych, może dojść do utraty kości szczęki i zębów. Regularne wizyty u stomatologa i odpowiednia higiena jamy ustnej są kluczowe w zapobieganiu tym problemom.
Skuteczne metody leczenia odsłoniętych szyjek zębowych
Leczenie odsłoniętych szyjek zębowych zależy od stopnia zaawansowania problemu. Jedną z najczęściej stosowanych metod jest zakrycie szyjek materiałem kompozytowym. Zabieg ten polega na nałożeniu specjalnego materiału, który chroni wrażliwe części zęba i redukuje nadwrażliwość.
Innym rozwiązaniem jest wygładzanie powierzchni korzenia zęba. Ten zabieg pomaga usunąć nierówności, które mogą gromadzić bakterie. Dzięki temu dziąsła mają lepsze warunki do regeneracji, a ryzyko dalszego cofania się zmniejsza.
W bardziej zaawansowanych przypadkach stomatolog może zalecić przeszczep dziąsła. Polega to na pobraniu tkanki z innego miejsca w jamie ustnej i przeszczepieniu jej w obszar odsłoniętych szyjek. To skuteczna metoda, która przywraca naturalną ochronę zębów.
| Metoda leczenia | Skuteczność | Przybliżony koszt |
| Zakrycie kompozytem | Wysoka | 200-400 zł za ząb |
| Wygładzanie korzenia | Średnia | 150-300 zł za zabieg |
| Przeszczep dziąsła | Bardzo wysoka | 1000-3000 zł |
Domowe sposoby na złagodzenie bólu i nadwrażliwości
Jeśli szukasz co na odkryte szyjki zębowe, warto zacząć od specjalnych past do zębów. Past przeznaczonych dla wrażliwych zębów zawierają składniki, które zmniejszają nadwrażliwość. Regularne stosowanie może przynieść znaczną ulgę.
Naturalne metody również mogą pomóc. Płukanie jamy ustnej roztworem soli lub naparem z rumianku łagodzi stany zapalne. Aloes ma właściwości kojące, a jego żel można delikatnie wmasowywać w dziąsła.

Jak zapobiegać odsłoniętym szyjkom zębowym?
Profilaktyka to klucz do uniknięcia problemów z odsłoniętymi szyjkami zębowymi. Prawidłowa higiena jamy ustnej to podstawa. Używaj miękkiej szczoteczki i delikatnych ruchów podczas szczotkowania. Unikaj zbyt mocnego nacisku, który może uszkodzić dziąsła.
Regularne wizyty u stomatologa są równie ważne. Specjalista może wcześnie wykryć problem i zalecić odpowiednie działania. Profesjonalne czyszczenie zębów usuwa kamień nazębny, który może przyczyniać się do cofania dziąseł.
Wybór odpowiedniej pasty i szczoteczki do zębów
Wybór szczoteczki ma ogromne znaczenie. Miekkie włosie minimalizuje ryzyko uszkodzenia dziąseł. Szczoteczki elektryczne z czujnikiem nacisku są szczególnie polecane, ponieważ zapobiegają zbyt mocnemu szczotkowaniu.
Pasta do zębów powinna zawierać składniki takie jak fluorek cyny lub aminofluorek. Te substancje pomagają wzmocnić szkliwo i zmniejszyć nadwrażliwość. Unikaj past z drobinkami ściernymi, które mogą podrażniać dziąsła.
Skuteczne leczenie i profilaktyka kluczem do zdrowych dziąseł
W artykule omówiliśmy, że odsłonięte szyjki zębowe można skutecznie leczyć za pomocą różnych metod, takich jak zakrycie kompozytem, wygładzanie korzenia czy przeszczep dziąsła. Każda z tych metod ma swoje zalety i jest dostosowana do stopnia zaawansowania problemu. Warto pamiętać, że domowe sposoby, np. stosowanie past do zębów dla wrażliwych zębów, mogą złagodzić objawy, ale nie zastąpią profesjonalnej pomocy.
Profilaktyka odgrywa kluczową rolę w zapobieganiu odsłoniętym szyjkom zębowym. Prawidłowa higiena jamy ustnej, regularne wizyty u stomatologa oraz wybór odpowiedniej szczoteczki i pasty to podstawowe kroki, które mogą uchronić przed tym problemem. Szczególnie ważne jest unikanie zbyt mocnego szczotkowania, które może prowadzić do uszkodzenia dziąseł.
Podsumowując, wczesne wykrycie problemu i odpowiednie leczenie są kluczowe dla zachowania zdrowych dziąseł i zębów. Regularna opieka stomatologiczna oraz świadomość właściwych nawyków higienicznych mogą znacząco zmniejszyć ryzyko wystąpienia odsłoniętych szyjek zębowych.






