Odkrycia
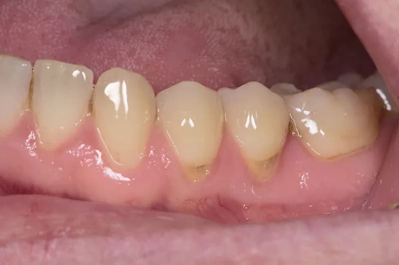
Jak skutecznie leczyć odsłonięte szyjki zębowe i uniknąć bólu – porady i metody
Dowiedz się, co na odkryte szyjki zębowe – skuteczne metody leczenia, domowe sposoby na ból i nadwrażliwość oraz porady, jak zapobiegać problemowi.
•
24 grudnia 2024